高龄老人最怕什么?
摔跤!
摔跤容易导致什么?
骨折!
有一种骨折,
非常危险!
比癌症的死亡率更高!
那就是老年人髋关节骨折!
被称为“人生最后一次骨折”!
为什么被称为“人生最后一次骨折”?
很多老年人身上都伴有不少的基础疾病,且老年人的愈合能力差,一旦发生髋关节骨折,各种内科慢性疾病会严重影响骨折治疗的进展和效果,长时间的卧床休养会引起各种并发症,在本就不佳的身体状况下“雪上加霜”,严重的还可能会导致死亡,就再也没有机会骨折了。
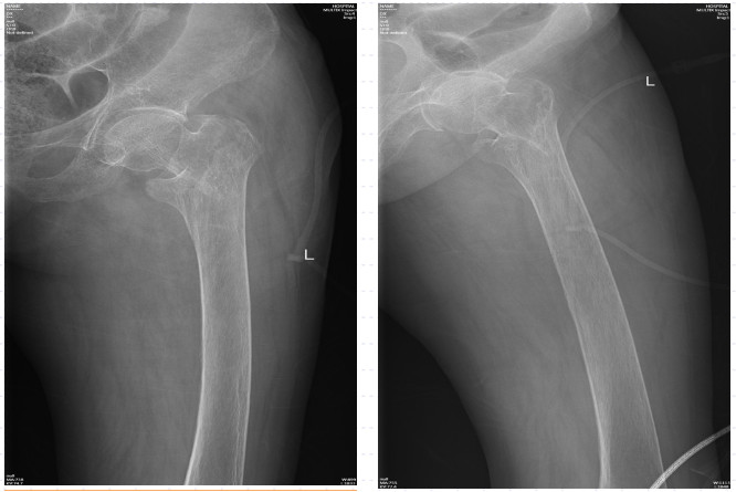
近日,88岁高龄的陈奶奶因滑倒摔伤,臀部着地,当即感到左髋部疼痛,无法站立行走,活动明显受限。陈奶奶的家人发现后立即将她送至黄播 急诊科进行救治。拍片后提示为左股骨粗隆间骨折,需要手术治疗。
在询问陈奶奶的家属后得知,陈奶奶年事已高,疾病缠身,除了有冠心病、心房颤动、全心衰等心脏方面的问题,同时合并有老年性骨质疏松、主动脉硬化、甲状腺功能亢进(未进行治疗)、贫血、凝血功能异常等基础疾病。另外,陈奶奶曾于2020年在黄播 顺利完成了“右侧股骨粗隆间骨折闭合复位APFN内固定术”,术后恢复良好,3年来生活基本恢复正常。
不幸的是,这次受伤造成了左股骨粗隆间骨折,陈奶奶将迎来第二次的髋关节手术!此次手术的风险比上一次更高,术后治疗与康复也更具有挑战性!
术前
入住黄播 骨伤科后,钟水林主治医师立即安排陈奶奶完善各项术前检查。考虑到陈奶奶高龄同时合并有较多的基础疾病,有些疾病并未系统规范治疗,如甲亢疾病;围手术期风险较大,我科组织全院大会诊:邀请心血管科、内分泌代谢病科、重症医学科、麻醉科等进行术前讨论和评估;结合患者病史,评估患者病情,充分讨论后,钟水林主治医师与陈奶奶家属进行了充分沟通,为其量身定制了最佳的治疗方案,对其骨折采取微创闭合复位手术治疗(APFN)。
手术前
内分泌代谢病科杨志刚副主任医师考虑到患者甲亢病史,建议忌碘饮食,忌碘消毒,同时提出围手术期可能出现甲亢危象,严重情况可危及生命。
心血管科林超副主任医师考虑患者既往冠心病、房颤、心衰病史,结合心脏超声:LVEF:51[52-74]%下降,提示全心衰竭,建议予冠状动脉造影评估心功能,确保患者达到手术的最佳状态。
麻醉科王翔峰主任医师考虑患者高龄,基础疾病多,将麻醉风险等级评估为IV级,充分做好麻醉准备,及时应对可能出现的脑梗、血栓、甲亢危象等并发症,加强围手术期的诊疗。
重症医学科林名瑞副主任医师考虑患者高龄,合并有较多基础疾病,告知患者家属病情危重,术后可能出现相关并发症,加重生命危险,及时做好术后监护。
手术在病人骨折后第三天实施,手术当天在麻醉科王翔峰主任团队的紧密协作,修忠标主任医师的指导下,钟水林主治医师和韩海医师顺利地完成了手术,手术总共耗时30分钟。
由于患者内科基础疾病较多,为保障其安全,术后将陈奶奶转移至ICU病房进一步治疗。在ICU监护期间,陈奶奶出现反复发热、循环不稳等情况,在重症医学科李红艳主任医师的指导下,制定了相应的治疗方案。陈奶奶的各项生命体征逐渐稳定,后转回我科继续治疗。
手术后
从ICU转回我科后,发挥黄播 中医特色,运用中医药对病人进行身体调理。在潘玮护士长带领的护理团队精心护理下,陈奶奶的精神状态也一天天好起来。
如今,陈奶奶精神状态渐佳,生活能自理,已顺利出院,陈奶奶的家属对此非常感激。
科普时间
随着人口老龄化的现象不断加剧,老年人的健康问题成为了每个家庭关注的重点。由于人的骨量在一生中呈现为抛物线走势。中年时期达到峰值后,随着年龄的增大,人体的骨含量不断丢失,骨密度不断降低,骨脆性增加,导致老年人极易发生骨折。其中髋部骨折是一种比较严重且常见的骨折类型,在老年人中的发病率越来越高,其常见的髋部的骨折有两种:一种是股骨颈骨折,另外一种是股骨粗隆间骨折。
如何避免“人生最后一次骨折”?
中医经典著作《黄帝内经》提到:“圣人不治已病治未病,不治已乱治未乱”,在后代医家的发展完善中,形成了“未病先防”、 “既病防变”、“瘥后防复”的“治未病”理论体系。
其中所提及的“未病先防”,给予我们启发,与其等待老人遭遇了骨折再进行治疗,不如提早进行预防,避免骨折的发生。
一、预防跌倒,是成本最低的方法!
1、选择合适鞋子、服饰。
2、避免行动不便的老人独居。
3、居住环境光线充足,保持地面干燥。
4、调整健康的起居方式。
二、积极预防老年人骨质疏松也有非常重要的意义
保持均衡饮食,多吃高蛋白、高纤维食物。定期陪伴父母到医院检查骨密度,适当补充维生素D和钙剂。
