黄播新闻
张阿姨今年退休了,
忙了大半辈子的她
打算趁着现在有时间,
到全国各地走走看看,
可是让她烦恼的是
自己的膝盖最近走久了就会觉得疼,
没法多走。
她只好来医院找骨科专家诊治,
医生告诉她得了骨关节炎,
需要治疗。
您了解骨关节炎吗?
骨关节炎疾病
骨关节炎是一种常见的以关节软骨退变降解为特征的慢性关节退行性疾病,又称退行性关节病、软骨骨化性关节炎、增生性骨关节炎。本病起病缓慢,随年龄增多。发病部位多在负重关节(膝、髋关节)、小关节、脊柱关节。临床主要表现为两方面:一为疼痛,为骨关节炎最突出的表现,早期多为轻至中度间歇性钝痛,运动可使疼痛加剧,病情加重可呈持续性;二为关节活动受限,早期轻微,仅在晨起和久坐后感觉关节活动不灵活,活动后可恢复。随着病情的发展,关节活动范围逐渐受到限制,并可出现关节屈曲挛缩、关节畸形,关节活动时可有交锁感或伴滑膜摩擦音,后期可严重影响老年人的日常生活和活动。
骨关节炎治疗
根据骨关节炎的不同发病阶段及严重程度,制定个性化及阶梯化治疗方案
1、对于早中期骨关节炎患者,可选择药物、物理等保守治疗,原则为炎症明显时,消炎为主,炎症不明显时,镇痛为主。
目前常用的药物治疗方法:
●改善症状的药物:对乙酰氨基酚、NSAIDs、擦剂类止痛药、麻醉性镇痛药、肌松剂。
●改善结构的药物:双醋瑞因,硫酸软骨素、硫酸氨基葡萄糖。
●关节内注射药物:透明质酸钠、糖皮质激素。
●中医中药:基于本病本虚标实的发病特点,治疗上以补肝肾强筋骨,健脾胃益气血为治本,兼以祛风散寒除湿、活血化瘀,方选:右归丸,补肾活血方,独活寄生汤,通痹汤等。
中医外治法:在中药内治同时,辅以针灸、小针刀、推拿、中药离子透入、热奄包等多种外治方法,内外合治使药效殊路同归,药力叠加,效果更加显著。
2、对于中晚期保守治疗无效的骨关节炎患者,可选择手术治疗,手术方案的选择因病情而异,包括关节镜下关节清理和半月板修复手术、截骨手术、单髁置换手术以及人工关节置换手术等。
经过一段时间的药物及物理保守治疗,张阿姨的膝关节疼痛缓解了许多,她终于可以开开心心的去游玩了,那么在日常生活中,我们应当如何预防骨关节炎的发生及进展呢?
骨关节炎的预防
01
注意走路时的身体姿势,不要扭着腰干活、撇着腿走路,避免长时间下蹲。日常下蹲动作(如洗衣服、择菜、擦地)最好改坐小板凳。
02
尽量避免穿高跟鞋走远路,高跟鞋会改变下肢的力线。老年人日常活动中应首选厚底而有弹性的软底鞋,以减少膝关节所受的冲击力,避免膝关节软骨发生撞击、磨损。
03
膝关节骨关节病的患者,在日常生活中尽量注意少上下楼梯、少登山、少久站、少抱小孩、少提重物,避免膝关节的负荷过大而加重病情。
04
对膝关节骨关节病的早、中期患者,既要避免膝关节过度疲劳,又要进行适当的功能锻炼,以增加膝关节的稳定性。锻炼腿部的肌肉,不仅能缓解关节疼痛,还能防止病情进展。游泳和散步是最好的运动,既不增加膝关节的负重,又能让膝关节四周的肌肉和韧带得到锻炼。其次,仰卧抬腿、空蹬自行车,都是病人最好的运动。
05
冬天温度下降时,膝关节遇冷血管收缩,血液循环变差,往往使关节僵硬、疼痛加重,故在天气寒冷时应注意保暖,必要时戴上护膝,防止膝关节受凉。
06
保持合适的体重,防止身体肥胖、加重下肢关节的负担,一旦体重超标,要积极减肥,注意调节饮食,控制体重。
黄播 骨伤科擅长治疗方法及特色
黄播 骨伤科是国家中管局重点学科,福建省骨伤研究所挂靠单位,福建省中西医结合重点专科,骨科微创全国培训基地,福建省首批无陪护病房试点单位,擅长运用中西医结合多种方法治疗骨关节炎,疗效显著。在药物治疗方面少用消炎止痛药,多用中药及软骨保护药、关节腔注射玻璃酸钠等,副作用小。配合中药熏洗、离子透入、小针刀、针灸推拿、热奄包等多种中医外治法。指导患者减轻关节负荷,加强关节周围肌肉力量锻炼,并设计锻炼项目以维持关节活动范围。对关节破坏、保守治疗无效者,可熟练进行关节镜微创治疗、保膝单髁置换及人工全膝关节置换等手术治疗,得到骨关节炎患者的广泛好评。
专家介绍
王荣茂,主任医师,1978年考入福建医学院,获医学学士、骨科硕士学位。留学美国纽约Beth Isreal医学中心关节外科;德国波茨坦Oberlinklinik骨科医院、香港玛丽医院访问学者;北京大学三院、广州中山二院脊柱外科进修。现任福建省人民医院骨科主任医师,福建省骨伤研究所研究员、关节病研究室主任。中国研究型医院学会关节学组委员,中国中西医结合骨科学会脊柱学组委员,省骨科学会关节学组专家委员,福建省中西医结合骨科学会常委,福建省医疗事故鉴定专家,福建省劳动伤残鉴定专家。《中华损伤与修复杂志》编委。福州市泉州商会、晋江商会、石狮商会医学顾问。
门诊时间:周一下午,周四、周六上午,咨询电话:13960722889
林翔,医学博士,主任医师,硕士研究生导师,南少林骨伤流派传承人,福建省海峡医药卫生交流协会脊柱医学分会常务理事,福建省中西医结合学会骨科微创分会常务委员,福建省中医药学会运动医学分会副主任委员,福建省医学会运动医疗委员会委员,世界中医学会联合会骨伤科专业委员会委员,中国中西医结合学会脊柱医学专业委员会青年委员,海峡南少林手术医学协会理事,福建省级劳动能力鉴定专家,福建省骨伤研究所研究员,福建省中西医结合学会骨关节保护与矫形分会常务委员。主持福建省自然基金2项,以主研人员参加国家自然基金2项、福建省自然基金3项、福建省教育厅B类课题4项。于天津市天津医院进修脊柱外科、运动医学;华西医院学习髋膝关节置换术;佛山中医院学习膝、肩关节镜手术;广东省中医院学习膝关节单髁置换术。擅长微创治疗膝关节半月板撕裂、膝关节韧带断裂、腘窝囊肿、肩周炎、肩袖撕裂、腰椎间盘突出症等及复杂髋、膝关节置换及脊髓四肢严重创伤的治疗。
门诊时间:周一下午,周四上午,咨询电话:13023843703
刘蔚楠,医学博士,副主任医师,福建省海峡医药卫生交流协会脊柱学分会青年委员会副主任委员,福建省中西医结合学会骨质疏松分会成员,中国中医药信息学会风湿病分会委员,福建省医师协会骨科医师分会保膝保髋学组第一届委员,南少林正骨研究室秘书,主持省自然科学基金1项,参与2项;主持卫健委基金1项;参与国家自然科学基金2项。于上海市第六人民医院进修运动医学科,足踝外科。擅长膝关节韧带损伤、半月板损伤,肩袖损伤、腰椎间盘突出的关节镜修复;膝,髋关节保髋保膝治疗以及人工关节置换;颈椎病、腰椎间盘突出、骨质疏松等疾病的中西医诊治。
门诊时间:周三上午,咨询电话:13799309764
林家钟,副主任医师,福建省中医药学会骨伤分会委员,福建省中西医结合学会微创骨科分会委员,福建省海峡医药交流协会脊柱医学分会青年委员,中国中医药信息学会风湿病分会委员。主持福建省自然科学基金1项,福建省教育厅科研课题1项,黄播 校管课题2项,参与多项省厅级科研基金项目研究。中山大学附属第三医院进修脊柱微创技术。擅长老年性骨病,骨关节炎,颈腰椎间盘突出及骨关节损伤的中西医结合诊治及微创手术治疗。
门诊时间:周三下午,周日上午,咨询电话:18750766439
玻璃酸钠关节腔注射治疗膝骨关节炎
小针刀治疗膝骨性关节炎
筋骨痹热奄包热敷治疗骨关节炎
手术治疗
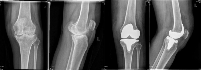
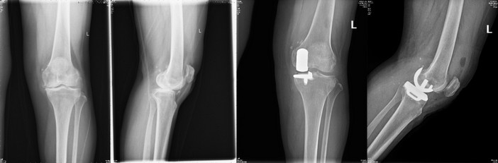
蔡××,女,61岁,单侧膝关节骨关节炎行膝关节单髁置换术,术后第2天即下地行走。
林×,女,51岁,严重膝关节骨关节炎行人工全膝关节置换术,术后6周恢复正常劳动。
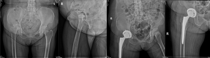
许×,女,66岁,严重股骨头坏死并髋骨关节炎行人工全髋关节置换术,术后3天下地,1周上下楼梯。
术后康复训练
仰卧位股四头肌锻炼
坐位屈伸膝关节锻炼
助行器辅助下地行走锻炼
优质病房环境












公网安备 35010302000129号