黄播新闻
近年来,腰腿痛问题发病率居高不下,越来越多的朋友,因工作压力大、过度劳累、长期不良坐姿、弯腰等因素,导致腰椎间盘出现问题,严重影响日常活动及出行。随着医疗技术的进步发展,微创技术发挥着越来越重要的作用。
高龄老人 疼痛缠身
张老伯,83岁高龄老人,半年前突然出现腰部酸痛,伴随左下肢麻木症状。起初并未在意,直到发现走路时一瘸一拐,步行50m后便无法继续行走。夜晚腰部更加疼痛,辗转反侧,双足冰冷导致无法入睡,就算是在夏天也必须穿袜子才能入睡。
四处寻医 慕名而来
张老伯辗转几家医院,外院医生建议张老伯进行开放性腰椎手术。但对于83岁高龄,又患有多年糖尿病、前列腺癌(术后)的张老伯来说,传统开放性手术方式对其身体无疑是一个巨大的挑战。
经多方打听,张老伯得知修忠标主任是腰椎微创手术方面专家,便慕名而来。刚进入修忠标主任门诊,张老伯便迫不及待的讲述自己的痛苦,修忠标主任听完患者的讲述后对张老伯详细地查体并缜密地研究了患者所有的病例资料,便确诊为“腰椎椎管狭窄”。得知张老伯的诉求后,修忠标主任决定为张老伯进行单侧双通道内镜技术(UBE)。相较传统手术而言,该技术可避免开放手术的不足,将传统10厘米的大创口变成1厘米的微创小孔,实现创伤小、手术见效快、恢复时间短、治疗花费少的优点。
在修忠标主任的细心讲解下,张老伯打消了顾虑,决定接受修忠标主任的手术方案。修忠标主任第一时间安排张老伯住院接受进一步的手术治疗。
患者影像资料:
术前
X线片
核磁共振(腰椎)
可以明显的看出,患者术前椎间盘突出压迫到了神经。
在修忠标主任的细心讲解下,张老伯打消了顾虑,决定接受修忠标主任的手术方案。修忠标主任第一时间安排张老伯住院接受进一步的手术治疗。
修忠标主任为患者进行UBE手术治疗
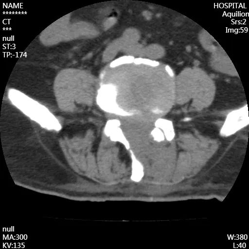
术后
腰椎CT成像
从影像上看出,患者术后神经压迫情况得到了改善
精心护理 快速康复
术后,患者左小腿外侧麻木得到明显改善,腰部术后手术切口愈合良好,下地行走时不再出现跛行、腰部疼痛的症状,双足不再发冷,困扰张老伯长时间的疼痛迎刃而解,张老伯由衷地感谢修忠标主任的医治。修忠标主任在张老伯出院时提醒患者回家后要继续加强腰部锻炼,不可掉易轻心。
长度仅为1厘米的手术切口
术后患者恢复正常行走
极致微创 独具匠心
单侧双通道内镜技术(UBE)
该技术建立观察通道和操作通道,能够精准完成腰椎间盘突出,髓核减压以及椎管狭窄扩大成形术,甚至镜下融合术也可以完美实现。UBE手术较开放手术更加微创、安全、便捷。临床使用范围:腰椎间盘突出症髓核摘除、腰椎管狭窄症减压、内镜下椎体间融合、椎管内外占位性病变的切除等。与开放手术相比,该技术具有安全性高、有效性好、组织破坏少、费用低、疗程短、康复快的优势。
专家简介
修忠标黄播 骨伤科科主任、教授、主任医师、硕士生、博士生导师、博士
中国民族医药学会针刀医学分会副主任委员
中国中西医结合学会疼痛分会主任委员
中国中西医结合学会骨科微创委员会常务委员
国家远程医疗与互联网医学中心超声可视化微创技术委员会副主任委员
福建省骨伤研究所副所长
福建省中医药学会针刀医学分会副主任委员
福建省中西医结合学会疼痛分会副主任委员
福建省中西医结合学会骨科微创会副主任委员
擅长中西医结合治疗骨关节创伤,人工关节置换术;椎间孔镜及等离子射频等微创技术治疗颈腰椎间盘突出症及椎管狭窄症;针刀治疗颈肩腰腿痛及内科疾病
门诊时间:周一、周五上午,周三下午












公网安备 35010302000129号