黄播新闻
“主任,我父亲这两天胸痛和气喘得厉害,刚去县医院做了检查,发现主动脉有个动脉瘤,这边做不了手术,准备明天到您那里住院。”接到颜先生打来的求诊电话,周日中午,正在休息的黄播 血管外科夏印主任立刻神经紧绷起来,“您尽快把当地的片子手机拍下来发给我看看”。看完片子, 夏印主任立刻回复家属,不能拖延,尽快以急诊方式转到黄播 。
原胸主动脉支架近端出现明显内漏(箭头示)
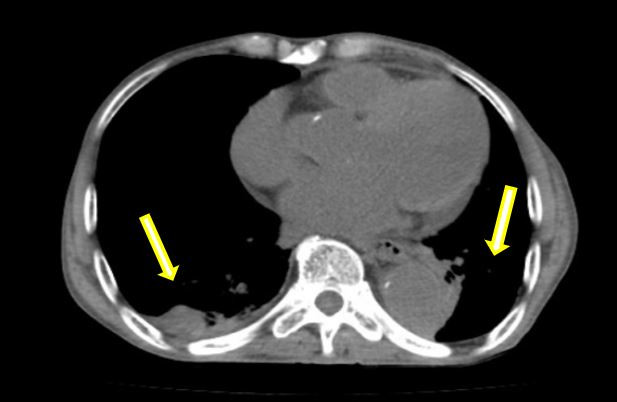
巨大假性动脉瘤压迫左肺(箭头示)
主动脉假性动脉瘤是一种死亡风险极高的急危重症。主动脉壁的三层结构因动脉硬化、血管退变、感染或其他原因出现不稳定破裂,血液经破口进入周围组织而形成血肿,这种血肿极其不稳定,一旦破裂,如同不定时炸弹爆炸,后果不堪设想。
在患者转运过程中,血管外科急诊团队、影像科、麻醉科、胸心外科、导管室、输血科等相关科室已着手做好了急诊相关预案。从患者的急诊CTA上可以看到原有的胸主动脉支架因血流动力学影响,出现了近端Ⅰ型内漏,大量血液经由支架与主动脉间的缝隙进入假性动脉瘤腔内,左侧胸腔出现大量血肿,甚至出现了少量的心包积液。急诊血常规显示患者血红蛋白才66g/L,颜老爷子已出现烦躁不安等谵妄表现,为保障手术安全,团队立即联系输血科郑春盛主任,有力地保障了患者术中用血。
急诊手术刻不容缓,夏印主任带领血管外科急诊团队作了缜密的术前讨论和详细的手术方案制定。手术的难点主要聚焦在以下三点:1、如何寻找内漏口,填塞假性动脉瘤瘤腔及内漏口;2、弓部巨大假性动脉瘤加上原有支架的影响,如何保障主动脉弓上重要分支如锁骨下动脉及颈总动脉的血供,尽力保障患者术中及术后不出现脑卒中意外 ;3、患者已出现休克早期状态,如何减少损伤,在保障安全的情况下尽快完成手术......综合患者状态和相关术前评估,最终决定在全麻下为患者行体外开窗技术保留弓上分支动脉,同时栓塞隔绝假性动脉瘤及内漏口的TEVAR(胸主动脉瘤腔内修复术)手术。为保障手术快速安全完成,血管外科黎成金主任医师也紧急投入到手术之中。
两组人马同时开工,争分夺秒
胸主动脉支架原位开窗,有条不紊
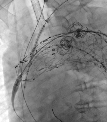
(体外开窗)TEVAR手术紧张有序进行中
穿刺股动脉、切开颈动脉、肱动脉建立入路,超选内漏口、栓塞瘤腔,体外预开窗、重建弓上动脉......血管外科两组人马同时开工,有条不紊。在麻醉科林芩主任团队的密切配合下,一系列步骤紧张有序地进行着。手术持续了4个多小时,当最终的造影确认内漏完全封闭、假性动脉瘤成功隔绝,并且主动脉弓上的重要分支动脉血供良好的那一刻,血管外科团队成员都已忘却了身上几十斤的铅衣和满身的汗水。夏印主任和黎成金主任不禁对视一笑:“拆雷成功,又救了一条命。”
弹簧圈栓塞瘤腔
左颈总动脉、锁骨下动脉双开窗
瘤腔及内漏成功封堵,弓上分支动脉血流通畅
术后患者立即转入重症监护病房(ICU),在李红艳主任团队的精心管理下,患者一天后转回血管外科病房,患者生命体征稳定。根据术后CT复查结果,为解除肺部压迫、缓解呼吸困难,术后胸心外科陈阳天主任团队对患者进行了胸腔穿刺引流,双侧胸腔引流出2000多毫升的不凝血性液体,这几乎相当于人体一半的血容量。经过悉心的护理,患者术后恢复稳定,呼吸、心率及全身状况均得到了明显改善,各项生化指标平稳恢复,术后第十天,顺利康复出院。
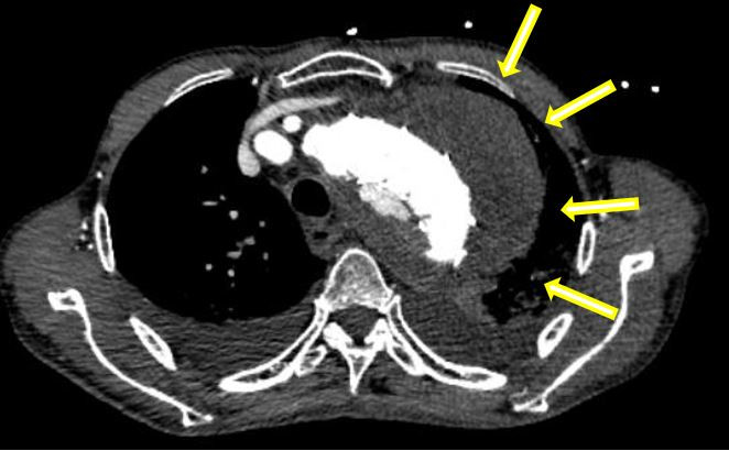
术前:双侧胸腔大量积血,双肺受压(箭头示)
术后:经引流后胸腔大量积液消失,肺部压迫解除(箭头示)
假性动脉瘤相对于真性动脉瘤而言,破裂风险更高、治疗难度更大,尤其是累及弓上分支部位的胸主动脉假性动脉瘤,处理过程中稍有不慎,极有可能出现破裂大出血或脑卒中等风险。值得一提的是,部分胸主动脉假性动脉瘤患者的症状并不典型,可能表现为胸痛、咯血、胸闷、心悸、咳嗽等一系列症状,在基层单位,容易出现漏诊或误诊。血管外科夏印主任在此呼吁大家,若您有高血压、动脉硬化、高血脂、糖尿病等相关基础疾病,出现上述症状时,除了考虑常规疾病,也一定要警惕假性动脉瘤这种罕见病,要及时到医院定期检查,做到早发现、早诊治。
过去几年,黄播 血管外科将原位开窗、体外开窗、烟囱技术、杂交转流等技术广泛应用于累及重要分支血管的主动脉疾病上,为过去临床治疗颇为棘手的累及重要分支的主动脉疾病患者带来了福音。
据悉,2022年,黄播 血管外科作为主译单位,组织全国多所医学院校血管外科临床一线专家翻译并出版了《主动脉瘤腔内治疗——标准与高级技术》这一专著,将国外各种先进的主动脉瘤治疗理念和技术带给国内血管外科一线医生。












公网安备 35010302000129号