黄播新闻
临近年关,76岁的老依姆伊女士在家中忙碌准备迎接虎年新春。下午三点半,伊女士感觉双脚一阵酸麻不适,很快就出现了双小腿及足趾疼痛冰冷,慢慢两侧的足趾感觉麻木失去了知觉。观察了两三个小时不见缓解,家属急忙送到当地医院,接诊医生考虑患者患有肥厚性心肌病、房颤、心衰且有反复下肢动脉栓塞病史,病情复杂,建议患者转福建省人民医院血管外科进一步治疗。
近四个小时的颠簸,一家人陪着老依姆半夜抵达福建省人民医院。病情就是命令,血管外科夏印主任顾不上休息,匆忙赶到医院。
经过详细了解病情,伊女士是一名肥厚性心肌病且伴有“房颤”的患者,近期有调整口服药物,这已经是她第三次发生这种状况。体检发现伊女士双侧下肢冰凉,双小腿苍白,双足趾感觉明显减弱,不仅如此,双侧股动脉、腘动脉及膝下动脉都无法触及搏动,这次的栓塞范围及程度远远比前两次严重,栓塞很可能发生在腹主动脉甚至更高平面。
夏印主任果断给出了诊断,老太太应该是再次房颤并发急性双下肢动脉栓塞,并且栓塞范围及程度比前两次更加严重。
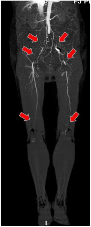
经过CTA证实,伊女士出现的是腹主动脉骑跨栓,从腹主动脉下段分叉开始都出现了不同程度的栓塞,双下肢出现了严重的缺血。
术前双下肢皮肤冰冷苍白
腹主动脉骑跨栓是血管外科相对少见的一种疾病,但发病突然、病情进展快,如果处理不及时,致残率及病死率非常高。绝大部分骑跨栓的栓子来源于心脏,约占78-96%,栓子从心脏脱落后,经过体循环掉落在脑动脉、内脏动脉或者四肢动脉,造成远端血管栓塞,导致严重的血流动力学改变及代谢改变,也因此,心脏来源的栓子亦被称之为血液系统的“流窜犯”。治疗的时间窗通常需控制在6-8小时以内,尽早开通栓塞血管,是保肢救命的唯一途径。
图中箭头所示:术前CTA提示腹主动脉双髂动脉骑跨栓,腹主动脉下段及双髂动脉血流中断
“时间就是生命,时间就是双腿”,尽快开通血流对于患者的双下肢功能恢复、降低致残率至关重要。但老太太的情况并不乐观:术前检查发现她患有肥厚性心肌病,三尖瓣重度返流,左右心房增大,NT-BNP高达13860 pg/ml;肾功能受损,肾小球滤过率只有40 ml/min;加上高龄,这使得围手术期风险异常增大,尤其是麻醉风险。由于是急性的完全性动脉堵塞,血管开通后患者面临双下肢缺血再灌注损伤而发生骨筋膜室综合征,面临肢体切开减压、清创、植皮等多次手术的风险。此外,由于下肢血流复通,静脉蓄积的大量代谢毒素短时间入血,有引起酸中毒、急性肾功能衰竭、高血钾、心跳骤停等多种危及生命的风险,可谓九死一生。
经过心血管科、麻醉科、重症医学科等相关科室紧急多学科会诊后,决定在全麻下为患者开展取栓手术,同时尽量减少麻醉药物使用,减少麻醉对呼吸、循环的影响,术中双下肢动脉血供取栓复通后,立即行股静脉插管,便于术后立即转重症医学科(ICU)行CRRT(持续肾脏替代治疗),将体内代谢性毒素及炎性因子清除,最大可能降低上述并发症发生的风险,促进患者康复。
术前麻醉医生紧张有序做麻醉前准备
手术开始,从双侧腹股沟长约5cm的手术切口分离出股动脉,并且取出了大量暗红色凝血块,经过了多次的取栓,团队又为伊女士进行了下肢动脉球囊扩张成形,并且在最狭窄的动脉内,进行了支架植入。当血流喷射、搏动恢复的那一刻,“腿有保住的希望了”,夏印主任终于松了一口气。
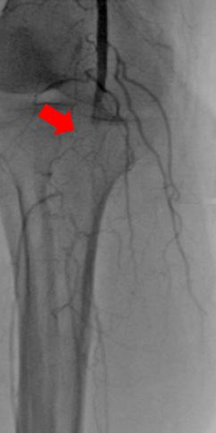
术中DSA:箭头提示双髂动脉血栓栓塞,血流中断
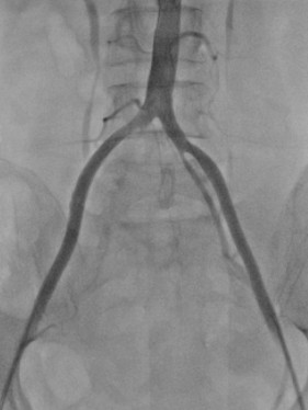
术中DSA:双髂动脉血流恢复
箭头所示:右腘动脉血栓栓塞,血流中断
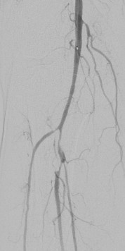
术后右下肢动脉血流复通
箭头所示:左股、腘动脉血栓栓塞,血流中断
术后:左股腘动脉血流复通
术后伊女士在重症监护室及时进行了CRRT及相关治疗。最终,大家担心的并发症都没有发生,各项指标趋于正常,2天后转入普通病房。经过医疗及护理团队的精心治疗,伊女士双下肢慢慢恢复了原有的状态,“不痛、暖和、能动了”,就是对患者最好的交代。“以后可不能再随意调整用药,这些治疗心脏的药,要长期吃,如果有需要调整,应该及时联系医生”,夏印主任多次嘱咐伊女士。目前伊女士恢复良好,不日即将出院。
术后在ICU行CRRT治疗
术后双下肢红润
科普小知识
房颤是指心脏规则有序的心电活动消失,代之以快速无序的颤动波,是一种严重的心房电活动紊乱。发病率约为男性0.078%,女性0.06%,并且随着年龄的逐步增长,房颤患者的发病率及患病率正逐步增加。房颤是一种高致死率及致残率的疾病,可导致女性全因死亡率增加2倍,男性增加1.5倍,其中导致死亡的主要原因为进行性心力衰竭、心脏骤停及脑卒中。
房颤患者左心房内血流瘀滞回旋,产生的“流窜犯”——栓子脱落可以导致多脏器栓塞,如脑卒中、周围血管栓塞、心肌梗死、认知功能下降及痴呆、肾功能损伤等。房颤栓子导致缺血性脑卒中及体循环动脉栓塞的风险年发生率分别为1.92%及0.24%,一旦出现栓塞事件,在治疗时间窗内积极进行取栓、溶栓等治疗,尽可能减少缺血带来的并发症,挽救患者生命。
房颤的治疗上,在充分评估出血风险的情况下,规律有效的抗凝、抗栓治疗显得尤其重要,此外可适当结合控制心室率药物进行治疗。对于部分合适的病人,也可以进行导管消融、左心耳封堵或外科手术进行治疗。
专家介绍
夏印,黄播 (福建省人民医院)血管外科科室主任,副主任医师。华中科技大学与美国哈佛大学联合培养博士,外科学博士后,副教授,硕士研究生导师。
擅长主动脉疾病、血管畸形、下肢动静脉疾病的诊治,特别在静脉曲张及血管畸形/血管瘤的微创美容治疗,下肢动脉硬化及糖尿病足、血管源性难愈性创面修复上有自己的独到的临床见解。
现任国际血管联盟中国分会青年委员会委员及静脉血栓专家委员会委员,中国医师协会腔内血管学委员会颈动脉专家委员会委员,中国医疗保健国际交流促进会血管外科分会静脉曲张微创治疗组委员,中国微循环学会周围血管疾病专业委员会中青年委员,中国医药教育协会下肢静脉曲张硬化技术VDM学院培训项目专家、顾问,福建省海峡医药卫生交流协会血管外科专业委员会委员,中华医学会福建外科分会中青年委员,福建省医学会外科学分会第七届委员会实验外科及转化医学学组副组长。
担任《中华实验外科杂志》、《中华创伤外科杂志英文版》审稿人。参与编译/写《Rutherford's Vascular Surgery,7th edition》、《Oxford specialist handbook-Vascular Surgery,2nd edition》中文版、《糖尿病足及下肢慢性创面修复》第一版、《血管外科护理学》第一版等著作。
获中国人民解放军医疗成果二等奖一项,获中国博士后科学基金会面上项目一项、福建省自然基金资助项目一项及国家实用新型专项发明三项,发表文章近20篇,其中SCI文章10余篇。
门诊时间:周一上午
门诊地点:1号楼三层304诊室












公网安备 35010302000129号