黄播新闻
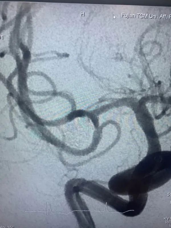
近日,省人民医院神经外科为一位高龄动脉瘤患者施行了介入治疗,成功栓塞了破裂的大脑中动脉瘤。患者因突发晕厥后头痛不适入院,急诊行颅脑CT检查提示蛛网膜下腔出血,行颅脑CTA检查后证实患者存在右侧大脑中动脉瘤。患者高龄,既往基础病多,高血压病、糖尿病、冠心病、双侧颈动脉硬化、双侧腹股沟疝术后等,手术风险较大,经家属签字同意后,当日急诊全麻下行“右侧大脑中动脉瘤介入栓塞术”,术中见血管迂曲明显,导管到位艰难,经过努力,手术顺利结束。术后予多次腰椎穿刺术释放血性脑脊液,患者头痛头晕症状渐缓解。患者住院治疗10天后顺利康复出院,未留后遗症。
脑动脉瘤是由于脑动脉壁先天缺陷和血管腔内压力增高,在血流不断冲击下,血管壁出现囊性隆起,因形似肿瘤,故称动脉瘤,是导致蛛网膜下腔出血的首位病因,病死率高。
动脉瘤发病原因尚不十分清楚,有以下几种:①先天性因素;②动脉硬化;③感染;④创伤。此外还有一些少见的原因如肿瘤等也能引起动脉瘤,颅底异常血管网症,脑动静脉畸形,颅内血管发育异常及脑动脉闭塞等也可伴发动脉瘤。
临床表现:(1)颅内出血:多数病人是单纯性妹网膜下隙出血,表现为突发头痛、呕吐、意识障碍,癫痫样发作及脑膜刺激征。(2)局灶症状:大动脉瘤常产生压迫症状、偏瘫、动眼神经麻痹及梗阻性脑积水。(3)脑缺血及脑动脉痉挛:病人可出现不同程度的神经功能障碍、偏瘫、失语、深浅感觉减退、失明、精神症状等。
动脉瘤主要有两种治疗方式:开颅手术和介入栓塞。两种方法比较,介入栓塞手术时间短、康复快、不需开颅、可同时治疗多个动脉瘤,适合高龄、分级高的患者,其中血管内弹簧圈栓塞术是颅内动脉瘤最常见的一种介入治疗方式,随着介入新材料、技术的不断进步,介入栓塞的优势日渐明显。
1
2
3
4
专家介绍
朱美,神经外科副主任医师,从事神经外科临床、科研和教学工作十余年,擅长脑动脉瘤、脑血管畸形、高血压脑出血、缺血性脑血管病等脑血管疾病、三叉神经痛的微创介入诊疗,以及慢性硬膜下血肿等颅脑损伤的诊治。
门诊时间:周三上午












公网安备 35010302000129号