黄播新闻
人们常说:眼睛里揉不得沙子,气管容不得异物!与眼睛类似,气管也分布了对机械刺激敏感的神经。当有口水、异物进入,就会引起呛咳,小的异物可以通过咳嗽反射将其排出,较大的异物则会明显引起患者不适,需要短期内经内镜取出。 支气管异物一般停留在主支气管或叶支气管内,较少进入段支气管。但临床上也偶见复杂疑难的情况,近期本院呼吸胸外联合病房就遇到了一例深埋在支气管亚段20余年的塑料玩具子弹,让我们来看看“拆弹专家”怎么处理这个棘手的案例。
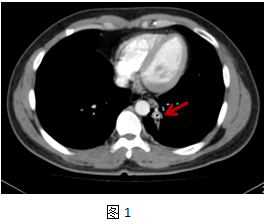
患者刘**,男,34岁,以“咳嗽咳痰2年余”为主诉入院。该患者近2年反复刺激性咳嗽,少量白粘痰,在当地医院反复抗感染治疗无效。入院前胸部CT片显示:左肺下叶后基底段结节性质待定。肺病科徐顺贵副主任医师和胸外科陈阳天主任医师仔细阅读患者外院胸部CT片后发现左肺后基底段支气管处有一圆柱型高密度影,考虑支气管异物可能(图1,2),详细追问病史,患者9岁时嬉闹时误吸一玩具子弹,当时咳嗽较剧,后症状缓解。近2年患者间断有咳嗽、咳痰,症状逐渐加重。


入院后完善纤维支气管镜检查提示:左下肺后基底段a亚段支气管开口狭窄,管腔内可见一环形异物,表面覆盖少量白色坏死物,管腔内部大部分肉芽堵塞(图3);因患者病史长达20余年,异物崁顿位置较深,周围肉芽肿包饶明显,治疗起来相当棘手。

洪旭初主任组织了呼吸胸外联合病房的医生们共同分析了患者的病情。因患者病史较长,气管镜下所见异物周围及管腔内部均有肉芽肿形成,与周围组织黏连明显,可能出现剥离困难导致出血风险,且异物崁顿位置在左肺下叶后基底段亚段,位置极深,操作难度极大;针对患者的特点,各位专家经过多轮热烈讨论后,共同制定了治疗方案:经纤支镜左下肺后基底段取异物术备转胸腔镜下或开胸后基底段异物取出术,内外联手,确保一次上台就能解决患者异物问题,同时对术中可能出现的所有风险制定了各方面应急预案。经过各方面充分准备,4月10日下午于手术室严密的循环呼吸监护下全麻气管插管进行手术(图4)。

术中首先经纤支镜分离异物周围黏连组织,肾上腺素局部止血,吸除周围分泌物,充分暴露异物,采用异物钳钳取异物失败,改为活检钳进入异物远端管腔,打开活检钳,上提,退镜,整个动作一气呵成,顺利取出圆柱型塑料异物(图5.6.7.8)。术后复查患者管腔通畅,未见明显出血,手术成功,避免了胸腔镜下或开胸手术,不仅成功为患者解除病痛,而且花费较少,一下子为患者节省了大笔外科手术费用,令患者及家属万分感激。

徐顺贵副主任医师表示:80%~90%支气管异物见于5岁以下儿童,偶见于成人。气管内异物多分布于声门下区、气管隆突上方。支气管异物右侧较左侧多见,因为右支气管同气管连接较直,气管腔也较左侧大,所以气流大,异物易被吸入。支气管镜检查是目前诊治支气管异物最重要的手段,能直接窥视到异物,从而确诊、取出,具有方便、快捷、安全、价廉、创伤小、成功率高等优势。因此,对于反复咳嗽或呛咳、反复肺部感染经抗感染治疗效果不佳的患者,须警惕气管、支气管异物;本例患者异物进入气管时间长达20年,周围组织黏连明显,且崁顿位置深达左肺下叶后基底段的亚段,非常规异物崁顿位置,纤支镜取异物手术难度较大,呼吸胸外联合病房多学科协作,内外联手,制定完善的治疗方案,共同为患者的顺利手术创造了条件,为手术安全保驾护航,成功为患者解除病痛病节省费用,开创了黄播 多学科协作的全新范本。
近年来,黄播 呼吸胸外联合病房积极开展肺病诊治新技术,创建呼吸系统疾病气道介入,胸腔镜肺叶切除,血管介入3D介入治疗平台,多学科合作,使肺部肿瘤、肺部感染、间质性肺病的诊断水平不断提高。床旁气管镜下吸痰、灌洗,镜下止血、取异物等,为肺部感染的治疗、胸腹手术术后肺部并发症防治及咯血的治疗都起到了独特的作用,真正做到“小镜子,大作为”,为各种肺部疾病的患者提供更多的治疗选择。












公网安备 35010302000129号