黄播新闻
近日,福建省中医肛肠与肛周创面修复临床医学研究中心接连攻克两例罕见肛周坏死性筋膜炎(Fournier's gangrene)病例,相关诊疗经验分别以王勋博士、何范真医生为第一作者,发表于《American Journal of Case Reports》和《Asian Journal of Surgery》两大国际SCI期刊。作为国内领先的肛肠专科研究平台,中心凭借深厚的肛肠专科积淀、创新的专科技术及中西医结合诊疗体系,为这类高致死率肛肠危重症的救治提供了专科化解决方案,再次彰显黄播 (暨福建省人民医院)中医肛肠学科的国际影响力。
1、病例速览
文章分别围绕两例罕见肛周坏死性筋膜炎病例展开:其一为感染突破肛周区域,沿筋膜间隙延伸至腹膜后,形成大范围坏死灶(此类病例临床罕见,文献报道占比不足10%)。团队及时实施专科化清创与引流方案,术后结合专科创面护理与基础病管理,患者最终痊愈。其二为感染扩散至会阴部及大腿内侧,传统手术易导致肛周皮肤大面积缺损、功能受损。中心团队创新采用“皮肤保留清创术”,在彻底清除感染的同时守护肛周功能与外观,术后融入中医特色护理,患者创面顺利愈合,保护了肛门功能。
研究团队结合现代医学技术与传统中医理论,深入分析病例特征,探索出“精准诊断+专科术式+中西医调护的诊疗方案,既详述了患者术后的快速恢复过程,也为这类罕见肛肠危重症的治疗提供了新参考。
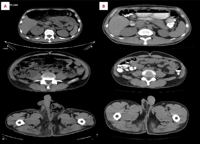
治疗前后影像对比:【A】为术前CT影像,【B】为术后1个月CT复查情况
2、团队之声
两篇论文的通讯作者、福建省中医肛肠与肛周创面修复临床医学研究中心主任王菁说道:“此次两篇研究成果成功发表在国际权威期刊,不仅标志着我中心在肛肠病理学的科研水平和临床救治能力上实现了新的跃升,更意味着我们探索的‘精准诊断+专科微创+中西医协同’模式,得到了国际同行的认可。肛周坏死性筋膜炎这类疾病发病急、风险高,以往缺乏针对肛肠专科特点的标准化方案,而我们通过病例的深度剖析,把专科解剖认知、微创术式创新和中医调护经验转化成了可借鉴的诊疗路径。”
“未来,我们会继续聚焦肛肠领域的疑难危重症,深耕创新性研究与个体化临床治疗的结合,既推动学科的学术建设,也为更多患者提供更精准、更有效的专科诊疗方案”,王菁补充说道。
福建省人民医院手术室团队在术中
3、核心优势
精准诊断,锁定隐匿病灶
肛周坏死性筋膜炎发病隐匿,中心团队凭借多年肛周解剖经验,构建“症状+专科影像+术中验证”诊断体系。针对腹膜后延伸病例,敏锐捕捉异常信号,通过术前影像检查等精准定位深层坏死灶;面对大面积感染,快速判断扩散边界,规避误诊风险。
特色术式,守护肛门功能
中心针对不同病例定制术式:腹膜后延伸病例采用“联合清创术",避开重要结构并精准引流;大面积感染病例创新“皮肤保留清创术”,优化“防火带”式引流术,通过分散小切口、皮下交通引流和软管挂线等创新设计,实现“清创不毁皮”,使患者平均住院时间缩短,创面愈合时间较传统手术减少,两例患者术后肛门功能均良好。
中西医结合,加速创面愈合
依托国医大师陈民藩“湿热论治、以通为用、内外并治、存体寡损、形神兼顾”的学术思想,中心建立“西医清创+中医调护”的专科救治模式,形成“全身-局部”双管齐下的治疗方案:术后给予清热利湿中药内服,调理患者全身湿热体质,从根源降低感染复发概率;应用专科中药熏洗配方(含黄柏、苦参、金银花等成分),维持创面适宜的湿润环境,加速皮肤上皮化进程,两例患者创面愈合时间较文献报道平均时间明显缩短。
结语
福建省中医肛肠与肛周创面修复临床医学研究中心,作为国内领先的肛肠疾病研究平台,近年来在学科建设、科研成果及人才培养等方面收获了亮眼成绩。研究中心秉承国医大师陈民藩教授的学术思想和福建省名中医石荣教授的学术精髓,持续推动肛肠疾病诊疗技术的创新与发展。
该研究的发表,不仅为中心赢得了国际学术声誉,也进一步提升了福建省中医药学科的全球影响力。未来,中心将继续深化中西医结合的研究模式,为解决疑难病症贡献更多创新成果。












公网安备 35010302000129号