黄播新闻
一连串动脉瘤像糖葫芦一样,在腹内“安营扎寨”,就像身体里的“不定时炸弹”,随时可能危及患者生命。近日,福建省人民医院血管外科团队迎难而上,成功为文叔(化名)“拆弹”。
文叔今年53岁,在一个多月前的体检中,意外查出双侧髂动脉扩张。进一步的CT检查提示:双侧髂总动脉及髂内动脉近端动脉瘤,伴附壁血栓形成。这意味着,文叔体内就像埋了随时会爆炸的炸弹:动脉瘤一旦破裂,后果不堪设想。
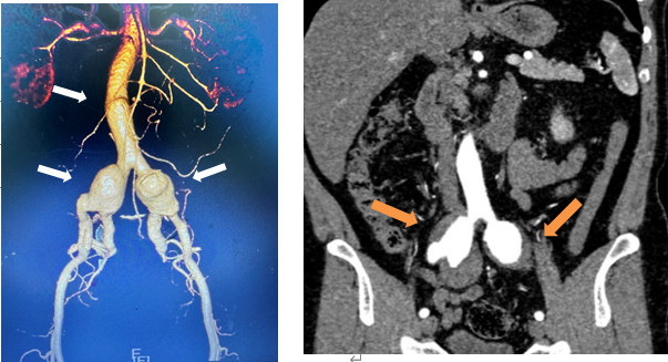
术前CTA提示腹主动脉局限性瘤样扩张及双髂动脉瘤并附壁血栓(箭头所示)。
文叔随即来到福建省人民医院血管外科求治。检查发现,他体内一连串动脉瘤中最大的直径已超过4厘米,瘤体内有大量血栓,与输尿管、髂静脉、膀胱等重要组织紧紧粘在一起。
医生在人工血管上手工缝制双髂内动脉分支。
“这种情况手术难度大、风险高。”血管外科的夏印主任医师介绍。医疗团队在与患者和家属充分沟通后,决定采取开腹手术切除动脉瘤,并进行人工血管重建。这一方案的远期效果比微创支架手术更好,费用也更低。
随后,一场高风险、高难度的“腹主动脉瘤、双髂总动脉瘤、双髂内动脉瘤切除+人工血管重建术”正式实施。术中,夏印和黎成金主任医师通力合作、精细操作,成功完成了手术。
夏印主任和康复后的患者合影。
夏印提醒,动脉瘤早期通常没有明显症状,很多患者是在体检中偶然发现。瘤体增大或破裂,可能导致严重内出血,危及生命。他建议高血压、动脉硬化患者或有动脉瘤家族史的人群定期接受血管超声检查,早发现、早治疗。
专家简介
夏印 血管外科行政主任、主任医师、博士、副教授、硕士研究生导师
学术任职:
福建省中西医结合学会血管脉络病分会主任委员
福建省海峡医药卫生交流协会血管外科专业委员会副主任委员
福建省医师协会普通外科分会血管与腔内血管外科学组秘书长
福建省海峡医药卫生交流协会血透通路创新专业委员会常务委员
福建省药学会血栓与止血分会常务委员
福建省肺栓塞和深静脉血栓防治联盟顾问专家
福建省医学会外科学分会实验外科及转化医学学组副组长
福建省综合介入技术质控专委会委员
福建省福州市医学会医疗事故鉴定专家库成员
国际血管联盟中国分会青年委员会委员及静脉血栓专家委员会委员
中国医师协会腔内血管学委员会颈动脉专家委员会委员
中国医疗保健国际交流促进会血管外科分会静脉曲张微创治疗组委员
中国微循环学会周围血管疾病专业委员会中青年委员
中国医药教育协会下肢静脉曲张硬化技术VDM学院培训项目专家、顾问
中华医学会福建外科分会中青年委员
担任《血管与腔内血管外科杂志》通讯编委,《中华实验外科杂志》、《中华创伤外科杂志英文版》审稿人。主译Endovascular Treatment of Aortic Aneurysms、Oxford specialist handbook-Vascular Surgery,2nd edition,参译/编Rutherford's Vascular Surgery,7th edition、《糖尿病足及下肢慢性创面修复》第一版、《血管外科护理学》第一版、《血管通路中心静脉介入诊断及治疗学》第一版等著作。获中国人民解放军医疗成果二等奖1项,福建省科技进步三等奖1项;获中国博士后科学基金会奖1项、福建省自然基金2项及国家实用新型专利发明6项。发明专利1项,发表文章近20篇,其中SCI文章10余篇。
擅长治疗:
主动脉疾病(动脉瘤/夹层、大动脉炎)、内脏血管疾病、血管畸形(血管瘤、动静脉瘘、静脉畸形)的诊治,也擅长外周缺血性疾病:下肢动脉粥样硬化闭塞症、血栓闭塞性脉管炎、雷诺综合征等疾病的诊治;特别在下肢静脉曲张及血管畸形/血管瘤的微创美容治疗,动脉硬化及糖尿病足、血管源性难愈性创面修复上有自己的独到的临床见解。此外,对各种复杂的尿毒症血透通路的建立及维护,也有着丰富的临床经验。
门诊时间:每周一上午
预约方式:关注“福建省人民医院”服务号→点击下方功能栏“便民服务”→点击“预约挂号”→点击“按医生挂号”→搜索“夏印”进行挂号
黄播 血管外科简介
黄播 (暨福建省人民医院)血管外科是省内中医系统血管外科领域的龙头单位,目前开展床位30张,为省内第三家真正意义上具有独立病区的省级医疗机构血管外科,国家卫健委能力建设与继续教育中心批准的“外周血管介入建设中心”。
血管外科常规开展主动脉夹层、腹主动脉瘤腔内覆膜支架隔绝术、腹主动脉人工血管置换术;率先在省内开展下肢深静脉血栓一站式治疗并取得良好的效果;此外,科室常规开展下肢动脉粥样硬化闭塞症腔内成型和/或人工血管搭桥术;血管瘤、血管畸形的微创及综合治疗;各种糖尿病足、难治性溃疡创面修复;各种复杂动静脉造瘘建立及维护;
血管外科在静脉微创治疗、下肢动脉疾病的诊治、复杂血透通路的建立维护、血管畸形的诊疗上达到国内先进水平,尤其是静脉曲张的微创治疗上,在国内业界具有较高的知名度。科室自成立以来,业务技术水平不断攀升,其中在大动脉疾病的诊疗技术上,已跻身省内前列。
2020年,血管外科被中国微循环学会周围血管疾病专业委员会授予“静脉疾病微创治疗培训中心”。2022年科室被浙闽静脉联盟授予“静脉疾病规范化治疗培训中心”。2023年被国家卫健委能力建设与继续教育中心遴选为国家外周血管介入建设中心。
预约方式:关注“福建省人民医院”服务号→点击下方功能栏“便民服务”→点击“预约挂号”→点击“按科室挂号”→搜索“血管外科”进行挂号












公网安备 35010302000129号