黄播新闻
反复咳嗽、突发“白肺”、激素依赖、游走性肺炎……65岁的黄先生(化名)因一场“怪病”辗转多地求医未果。黄播 间质性肺病多学科联合(MDT)门诊通过中西医协同诊疗,抽丝剥茧锁定“真凶”——急性脑干梗死引发的隐匿性误吸。这场呼吸、影像、风湿、中医多学科联动的“破局之战”,彰显了中西医多学科协作在复杂疾病诊治中的独特优势。
一、病例回溯:呕吐、肺炎、脑梗交织的诊疗迷局
患者黄先生(化名),65岁,宁德籍建筑工人,因“反复咳嗽、咳痰1年”辗转宁德、福州多家医院。
第一阶段(2024年5月):因“恶心呕吐”于当地诊断为慢性萎缩性胃炎、胃窦溃疡,对症治疗后症状反复,继而出现咳嗽、咳白痰,胸部CT提示右肺炎症,抗感染治疗无效。
第二阶段(2024年6月):转诊福州某三甲医院后,肺炎快速进展至双肺间质性改变,抗感染方案升级仍无效,激素治疗一度缓解症状,肺部情况好转后仍有进食呛咳,进一步检查发现急性脑干梗死。
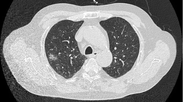
2024年6月10日肺部CT平扫影像
第三阶段(2024年7月-2025年5月):转诊专科医院康复治疗后仍遗留舌体偏斜、饮水呛咳,多次肺部CT显示游走性炎症病灶,肺功能显著受损(DLCO 50-60%),激素减量困难,血压血糖控制不佳,治疗陷入僵局。
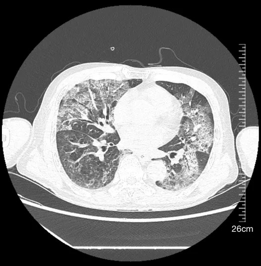
2025年5月27日肺部CT平扫影像
二、MDT破局:抽丝剥茧锁定“隐匿元凶”
面对错综复杂的病情,黄播 间质性肺病MDT团队(风湿病科、呼吸与危重症医学科、中医内科、影像科)展开中西医双线攻坚:
西医精准剖析:
1.影像追踪:影像科刘烽副主任医师、呼吸与危重症医学科林劲榕主任医师指出,对比患者既往多次CT、肺泡灌洗检查、抗生素及激素治疗结果发现,肺部病灶、病原学检查结果、激素治疗反应与误吸特征高度吻合,且出院后多次肺部CT结果提示“游走性炎症”提示反复微量误吸;结合颅脑MRI及吞咽障碍病史,确认急性延髓梗死导致咽喉肌群功能障碍,为误吸根源;
2.免疫排查:风湿病科邱磷安主任指出,根据患者症状和体征,可排除结缔组织病、过敏性肺炎等常见病因,激素依赖性源于误吸后化学性肺炎的继发反应;
3.系统整合:血压血糖异常与长期激素应用及误吸所致代谢紊乱密切相关。
中医辨证切入:
1.病机辨证:中医内科陈清清副主任指出,患者咳嗽痰白稀,口涎多,夜间症状加重,舌淡苔薄白,呈中焦虚寒、痰饮内停之征,结合既往中风病史、唇暗舌暗的特点,考虑表邪未解,瘀血内阻之象,病位在肺、脾、脑,需“解表化痰、温肺化饮、活血通络”为治法;
2.在体质调理方面,患者久病咳喘,病势缠绵,病机波及于肾,需遵循金水相生之理,以培元固本,标本兼治,促进机体康复。
3.外治增效:配合针灸风池、廉泉、丰隆等穴位,改善吞咽功能,减少误吸风险。
真相浮出:患者并非特发性间质性肺病,而是脑梗后吞咽功能障碍导致的反复误吸,引发化学性肺炎及间质性改变,此前“白肺”为住院期间大量误吸的急性后果。
MDT团队详细询问病史
三、治疗革新:从“抗炎”到“康复”,中西医双线并进
MDT团队果断调整策略:
西医精准干预:
1.逐步撤除长期应用的糖皮质激素及其他免疫抑制剂,减少副作用;
2.转以吞咽功能康复为核心,必要时抗感染治疗,联合康复医学科定制个性化训练方案。
中医全程护航:
1.内服方药:拟以小青龙汤温肺化饮,桂枝茯苓丸活血化瘀,共凑解表化痰、通络散瘀之功;辅以金水六君煎化裁培补肺肾以固本,标本兼顾,使寒饮得化、瘀血消散、正气恢复。
2.外治技术:针灸联合雷火灸温通任脉,改善咽喉功能;
3.膳食调养:根据体质定制药膳(如茯苓山药粥或苓桂术甘粥)以增强健脾之力,恢复“脾主肌肉”的功能,改善咽喉吞咽功能。
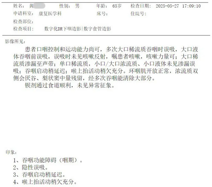
门诊结束后经MDT团队协调,患者转诊到康复医学科门诊,经吞咽造影检查证实了吞咽功能障碍、隐匿性误吸的判断。家属感慨:“辗转多家医院,终于在这里找到了病因,治疗方向清晰了!”
MDT团队进行病情分析讨论
四、专家点睛:MDT模式破解复杂疾病“密码”
风湿病科邱磷安主任分析道:“脑梗后吞咽障碍属‘中风-喉痹’范畴,需‘通窍利咽、扶正祛邪’。中西医结合既可快速控制急性炎症,又能通过调理脾肺根本,预防复发。”
呼吸与危重症医学科林劲榕主任医师说道:“本例的诊疗启示在于,面对难治性肺炎或间质性病变,需跳出单一学科思维,警惕神经系统病变等‘上游病因’。多学科协作能快速贯通诊疗链条,避免误诊误治。”
吞咽造影结果
黄播 间质性肺病MDT门诊始终秉持“以患者为中心”的理念,通过多学科专家“一站式”协作,为疑难肺病提供精准诊疗方案。本例的成功实践,再次印证了MDT模式在破解复杂疾病中的独特优势。未来,我们将继续深化中西医多学科融合创新,让传统医学智慧与现代技术共铸健康防线。
间质性肺病联合门诊开诊时间
每周二下午(具体以预约为准)
如何预约?
“福建省人民医院”服务平台(小程序)—预约挂号—按科室挂号—中西医多学科联合门诊—间质性肺病联合门诊。
预约挂号
↓↓↓
间质性肺病联合门诊












公网安备 35010302000129号