健康科普
春节来临,中小学生也迎来愉快的寒假,家长们是否留意过,孩子有高低肩、驼背、长短腿、骨盆倾斜、背部凸起或反复背部疼痛等情况,如果您的孩子有这些情况,极可能是发生了脊柱侧弯,“脊柱侧弯”作为青少年成长杀手,尽早矫正很重要!
什么是脊柱侧弯?
脊柱侧弯,是指脊柱的一个或数个节段向冠状面侧方弯曲,或伴有椎体旋转的脊柱畸形,其Cobb角度大于10°。根据权威调查数据显示,目前我国中小学生发生脊柱侧弯人数已经超过500万,并且还在以每年30万左右的速度递增。
脊柱侧弯的危害有哪些?
1.身体姿态异常及畸形
脊柱弯曲、背部不对称、胸廓畸形、骨盆倾斜、长短腿等。
2.呼吸功能受限
影响胸腔容积,导致肺活量减少,影响呼吸功能。
3.消化功能受损
导致腹腔压力改变,影响消化功能。
4.疼痛
引起背部、腰部、下肢疼痛,严重时影响日常生活。
什么原因导致脊柱侧弯?
生长发育高峰期
青少年处于生长发育高峰期,骨骼和肌肉生长迅速,容易导致脊柱形态异常。
脊柱生理曲度变化
青少年脊柱生理曲度发生变化,如胸椎后凸增加等,增加了脊柱侧弯的风险。
长期姿势不良
长期保持不良坐姿和站姿,如低头、含胸、弯腰等,容易引发脊柱侧弯。
遗传因素或疾病
本病具有家族遗传倾向。神经纤维瘤病、脊柱损伤或感染可导致脊柱侧弯。
脊柱侧弯如何自检
自我检测方法
目测法
让孩子上身裸露,光脚自然站立,背向家长。“四横一竖”:①双侧肩膀是否等高;②左右肩胛骨在脊柱两侧是否对称,其下角是否等高;③两侧腰窝是否对称;④两侧髂嵴是否对称;⑤棘突连线是否在同一条直线上。
前屈试验
让孩子脚跟并拢,双腿伸直,向前弯腰至90°,双手自然下垂。家长目光平行随孩子弯腰,从颈椎一直观察到腰部,注意脊柱两侧是否高低不平,有否单侧肋骨隆凸或单侧肌肉挛缩。
如果发生脊柱侧弯怎么办?
当然是尽早矫正!
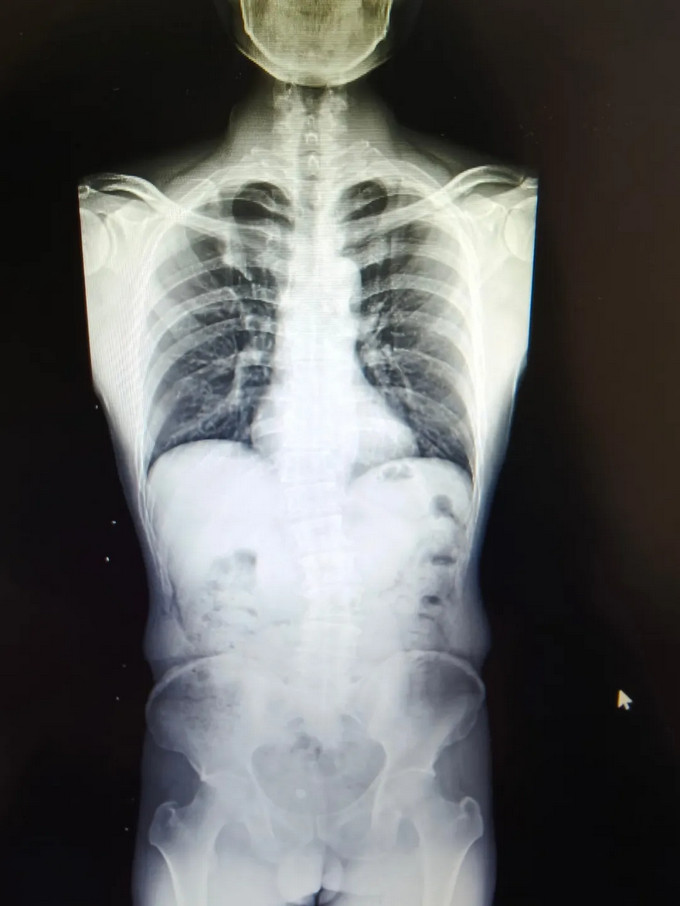
青少年小黄(化名),11岁,家属发现脊柱异常1年余。查体:双下肢真性长度等长,前屈试验阳性,ATR≥5°。全脊柱正侧位片示:“胸椎右侧弯畸形,Cobb角= 23.44 °”。
黄播 康复医学科诊疗团队诊断:“特发性脊柱侧弯”,为小黄制定完善的康复方案:一、脊柱侧弯健康宣教,二、基础运动训练(猫卷式、四点撑抗阻脊柱核心训练、侧平板、胸廓打开训练),三、传统康复训练(牵伸治疗、稳定性训练),柱侧弯得到明显矫正,复查全脊柱正侧位片示:“胸椎右侧弯畸形,Cobb角= 13.45 °”
现在行动,
为孩子守护健康脊梁
脊柱侧弯的矫正需要早发现、早治疗。如果您有任何疑问,或担心孩子的脊柱健康,请及时联系我们。我们康复医学科专业团队将为您提供免费的初步咨询和专业建议。
联系电话:
游医生:18059147568
康复医学科座机:0591-83947211
团队介绍
蔡昭莲,主任医师
门诊时间:周二上午,周五下午。
诊室:7号楼511。
陈良华,主任医师
门诊时间:周一、三、六上午,周二下午。
诊室:7号楼509。
李世斌,主治医师
门诊时间:周二、三、四、五上午,周四下午。
诊室:7号楼503。
游小芳,主治医师
门诊时间:周二、周四全天,周三下午。
诊室:7号楼505。
高兆鹤,主管技师
擅长:运用传统和现代康复手段,治疗脊柱侧弯以及肌骨关节慢性疼痛、骨科术后康复。
林绍坦,主管技师
擅长:颈肩膝腰腿痛,老年人骨关节病的保守治疗、脊柱侧弯传统康复治疗。
苏娟,技师
擅长:特发性脊柱侧弯康复与体态矫正,孕产康复,肌骨疼痛、骨折术后、运动损伤康复治疗。
巫丽媛,技师
擅长:特发性脊柱侧弯康复与体态纠正,颈肩腰腿痛、运动损伤、骨科术后康复治疗。
康复医学科诊疗范围:
神经系统疾病:中风病、脑外伤、脊髓损伤、周围神经损伤。
骨科疾病:颈椎病、腰椎间盘突出、脊柱侧弯等脊柱病、肩周炎、膝关节炎、颞下颌关节功能紊乱、骨科术后康复。
运动损伤:肌肉、韧带等软组织损伤如肩袖损伤、网球肘、半月板损伤、髌股疼痛综合征、肌腱炎。
儿童疾病:脑性瘫痪、运动发育迟缓、语言和言语发育障碍、胆红素脑病、各种脑炎后遗症、脑外伤后遗症、癫痫、感觉统合失调、注意力缺陷多动障碍、自闭症、斜颈以及扁平足、翼状肩、驼背等体态不良问题。
孕产相关疾病:孕期或产后腰痛、腹直肌分离、骶髂关节紊乱、耻骨联合分离、尿失禁、盆腔脏器脱垂、性生活功能障碍及产后体态问题。












公网安备 35010302000129号