黄播新闻
你身边是否也存在常常抱怨
“脖子酸痛,沉甸甸的”
“感觉肩膀手臂,
甚至手指都有些麻木”,
“怎么吃药理疗都没效果”的声音?
如果有,
不妨来了解一下
“微创小切口内镜(UBE)
辅助下前路颈椎间盘切除植骨融合术
(简称MOEA-ACDF)”
高龄老人的求诊之路
71岁的吴阿婆已经深受颈椎病困扰6年之久。6年来吴阿婆从一开始的颈肩僵硬疼痛慢慢发展到了两边手臂麻木,甚至觉都睡不好,并且在近一个月以来,症状明显加重。
吴阿婆听闻他人介绍:福建省人民医院骨伤科的修忠标主任治疗颈肩腰腿痛疾病的效果很好,就迫不及待的来到修忠标主任的门诊进行诊治。
修忠标主任听完吴阿婆对病史的阐述后,对吴阿婆进行了详细的体格检查并开具了辅助检查了解病情,最后给出了贴合吴阿婆病情的治疗方案:进行UBE辅助下的前路颈椎间盘切除植骨融合术。
吴阿婆听闻后有一些抗拒:没想到自己的颈椎问题居然还要开刀治疗,自己这么大的年龄能做手术吗?于是连忙询问能否只吃一些药物或是做理疗来治疗?
修忠标主任看出了吴阿婆的疑问顾虑,耐心地解释到:吴阿婆的颈椎病是由于颈椎间盘突出压迫神经、脊髓导致的,而病情发展到现在,手术是最快最有效的治疗手段,而我们选择的内镜下手术正是因为吴阿婆是高龄患者,且有5年的“2型糖尿病病史”,选择开放手术有一定风险而考虑的。
最后,吴阿婆在详细的沟通并了解到修忠标主任对这类内镜下手术有着丰富的临床经验之后才放下心来,接受入院进一步检查并手术治疗。
入院影像学检查示:
C4-5、C5-6椎间盘突出伴钙化,C4-5、C5-6 层面脊髓变性。
诊断:
1、脊髓型颈椎病
2、2型糖尿病
影像观察
术前影像
颈椎CT矢状位
颈椎CT横断位 可以看到明显突出的骨赘
颈椎MRI横断位
颈椎MRI矢状位,可以看到患者的颈神经被明显压迫
手术图片
修忠标主任团队正在为吴阿婆进行手术
吴阿婆手术时的内镜下图片
突破后纵韧带后顺利到达颈髓
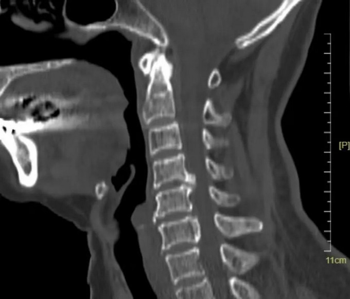
术后影像
颈椎正位DR
颈椎侧位DR
颈椎CT矢状位
颈椎CT横断位 可以看到突出的骨赘已被切除
颈椎MRI矢状位 颈神经压迫程度明显减轻
术后,吴阿婆颈部手术切口愈合良好,颈部转侧、屈伸时的酸胀疼痛感明显改善,双侧手臂麻木、头晕的症状也消失了,吴阿婆觉得非常神奇,感谢修忠标主任为自己解决了困扰已久的问题。
主任同时也嘱托吴阿婆要注意术后的护理和康复,更要注重改善自己的生活习惯,避免长时间低头,保持健康的坐姿和睡姿才能避免复发。
技术优势
近年来,经皮脊柱内镜技术已广泛应用于腰椎退行性疾病的手术治疗,不同于空气介质和水介质下的内镜技术, MOEA-ACDF是采用颈前路小切口,在空气介质和水介质联合下进行操作,在保持视野清晰的前提下,可保持水流通畅和维持静态水压。
最突出的优点可以概括为:视野清、切口小、恢复快。本术式的主要创新点在于以下几点:
01
水介质和空气介质混合使用,空气介质下显露,在椎体后缘处理骨赘及摘除突出椎间盘时使用水介质,在内固定时再改为空气介质,充分发挥了不同介质的优势;
02
开放环境而不是密闭环境,通过水流来保持清晰术野而不是增加水压来保持术野,较好避免和减少了类脊髓高压和术后颈部疏松软组织内出现明显积水和水肿;
03
发挥了30℃内镜更大的视场角,可以更好地进行椎间隙后缘的潜行减压;
04
常规颈前路手术入路,操作空间不受内镜通道限制,术野暴露范围广,常规颈前路手术器械即可操作。
目前,黄播 骨伤二科的修忠标主任团队在省内较早开展该项技术,术后患者恢复良好,为广大患者增添福音。
专家介绍
修忠标
黄播 骨伤科科主任,主任医师,博士,教授,博士生导师,南少林骨伤流派第三代传承人,国家中医药管理局高水平中医药重点学科建设项目(中医骨伤科学)学科带头人。
从事骨科临床医疗、教学、科研工作30年,擅长中西医结合治疗骨关节创伤;人工髋、膝关节置换手术;颈腰椎间盘突出症、颈腰椎管狭窄、腰椎滑脱等脊柱退变手术;颈椎低温等离子消融、腰椎椎间孔镜、UBE等脊柱微创手术及关节镜治疗半月板损伤、交叉韧带重建、肩袖损伤修复等运动损伤疾病。从事针刀15余年,擅长针刀疗法治疗颈肩腰腿痛疾病,在针刀治疗颈肩腰腿痛方面有独特的疗效,独创性提出了“针刀微创+”治疗理念,获得了很好的临床疗效。
目前学术任职:福建省骨伤研究所副所长,中华中医药学会针刀医学分会副主任委员,国家远程医疗与互联网医学中心超声可视化微创技术委员会副主任委员,中国中西医结合学会疼痛分会副主任委员,中国中西医结合学会骨科微创专业委员会常务委员,福建省中医药学会针刀医学分会主任委员,福建省中西医结合学会疼痛分会主任委员,福建省中医药学会筋膜学分会名誉主委,福建省中西医结合骨科微创专业委员会副主任委员,福建省中西医结合慢性筋骨病临床医学研究中心负责人等。中国民族医药学会针刀医学分会副主任委员
门诊时间:周一、周五上午,周三下午












公网安备 35010302000129号